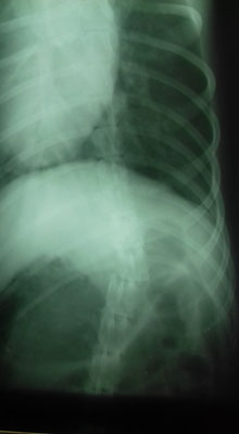
Miglena Dzhurova fand Anfang März 2018 einen verletzten Hund und brachte ihn sofort in die Klinik. Er war von einem Auto angefahren worden. Die Röntgenaufnahmen zeigten leider, dass seine Wirbelsäule gebrochen war - genau an derselben Stelle wie bei Dea aus unserem SOS-Tierschutzprojekt 48.
Dea wurde vor 15 Monaten aus einem Garten gerettet, wo sie mehrere Wochen ohne tierärztliche Versorgung ausgeharrt hatte. Auch bei Dea ergaben damals die Tests, dass sie kein Gefühl mehr in den
Hinterbeinen hatte, auch nicht in tieferen Regionen. Wie Dea kann der Rüde seine Körperfunktionen nicht mehr kontrollieren und wird Windeln tragen müssen… auch er ist jung, ungefähr ein Jahr alt
und hat sein Leben eigentlich noch vor sich.
Und auch bei ihm wird eine Operation keine Besserung erzielen.
Gott sei Dank ist der Bruch seiner Wirbelsäule nicht wie bei Dea verschoben, so dass Hoffnung besteht, dass er seine Hinterläufe wird wieder ein wenig einsetzen können. Dies gelang bereits bei
Lyvka, unserer anderen gelähmte Hündin. Hier stellten sich durch gezielte Physiotherapie und Lauftraining in
ihrer Pflegestelle kleine Erfolge ein.
Lyvka wird weiterhin durch SOS-Tierschutzprojekt 22 unterstützt, bis für sie eine Familie gefunden werden kann.
Allerdings ist er kein so geduldiger Patient wie Dea.
Da er voller Angst, Schmerz und Panik um sich biss, fiel eine Behandlung schwer. Er konnte nur mit einem Narkosepfeil sediert werden.
Bis Ende der Woche bleibt er erst einmal in der Klinik und Miglena hofft, dass er ein wenig zur Ruhe kommen wird und spürt, dass man ihm nichts Böses will. Sollte sich sein Verhalten bis dahin
nicht bessern, wird eine Versorgung bei Miglena jedoch sehr schwer werden.
Aber wie auch bei Dea und Lyvka steht für Miglena nicht zur Diskussion, den Rüden einschläfern zu lassen.
Solange noch irgendeine Hoffnung besteht, dass man ihm helfen kann, wird er diese Chance auf ein Leben bekommen.
Wir möchten nun mit diesem SOS-Tierschutzprojekt die Stiftung Samtherzen e.V. bei der Versorgung des Notfallrüden unterstützen und Medizintopfspenden für ihn
sammeln.
Lieben Dank für Ihre Hilfe!
Update vom 10. März 2018
Barry konnte heute die Klinik verlassen! Miglena Dzhurova hat Unfallopfer Barry nach Hause geholt, da man ihm in der Klinik nicht helfen konnte. Noch schläft er viel, da die
Beruhigungsmittel noch wirken. Obwohl er seine Hinterläufe und seine Rute ein wenig bewegen kann, war der Rat der Ärzte, ihn einzuschläfern. Vielleicht auch, weil er ein schwieriger,
unbequemer Patient war und nur mit Maulkorb behandelt werden konnte. Natürlich ist das für Miglena keine Option, solange Hoffnung besteht. Barry hat bislang nicht nach ihr geschnappt, selbst als
sie seine Vorderbeine berührt und untersucht hat. Er trägt keinen Maulkorb. Miglena schaut alle Viertelstunde nach ihm.
Sie hofft, dass er Vertrauen fassen und auch fressen wird, wenn er endlich zur Ruhe kommt und regelmäßig mit Schmerzmitteln und Antibiotika behandelt wird. Leider hat sich seine Haut entzündet, da er in seinen Urin lag. Morgen wird Miglena versuchen, ihn zu waschen und die entzündeten Hautstellen mit Antibiotikaspray zu behandeln.
Natürlich wird Miglena noch weitere fachliche Meinungen bei den Ärzten der Tierklinik in Stara Zagora einholen.
An Kosten für Klinikaufenthalt und Medikamente sind bisher 120 € angefallen.
Wir erhielten am 11. März 2018 die traurige Nachricht, dass Barry leider verstorben ist...
Eigentlich wollten wir gerade berichten, dass er getrunken und etwas Katzenfutter zu sich genommen hat... und dass er begann, ein wenig Interesse an seiner Umgebung zu zeigen, dass er seine Ohren in die Richtung drehte, von der aus er Geräusche wahrnahm... dass Miglena ihn streicheln konnte, am Körper und sogar am Kopf ganz ohne Maulkorb... dass Dea ihn heute noch kennen lernen sollte, um ihm ein wenig Lebenswillen zu bringen... dass die Ärzte falsch lagen, ihn sofort einschläfern zu wollen... dass es Hoffnung gibt...
Es ist so furchtbar traurig, alles versucht zu haben und er nun doch keine Chance auf ein Leben hatte...
Vielleicht auch, weil die Tierärzte von Anfang an der Meinung waren und immer wieder auch sein werden: Kommt ein Tier mit gebrochener Wirbelsäule in ihre Klinik, sollte man es einschläfern. Schlimm ist, dass man keinen Einfluss darauf hat, was die Ärzte für ein Leben tun, ob sie wirklich alles tun, ob sie alle Untersuchungen gemacht haben, die möglich sind.
Für uns hat es den Anschein, dass Barry letztendlich an inneren Verletzungen gestorben ist, die weder gesehen noch behandelt wurden. Wir sind nicht nur unsäglich traurig, wir sind auch extrem
aufgebracht ob der Hilfslosigkeit...
R.I.P. kleiner Kerl... komm gut über die Regenbogenbrücke... in den letzten Stunden deines Lebens wurdest du geliebt und warst nicht allein...
Spendenstand
Stiftung Samtherzen e.V. - Oryahovitsa, Bulgarien
Miglena Dzhurova gründete Anfang des Jahres 2015 die Stiftung Samtherzen e.V. und versucht seitdem auf sich allein gestellt, die Tiere vor Ort in Bulgarien zu retten und zu versorgen.
Vorher war sie Mitglied eines anderen Vereins, bekam aber zunehmend das Gefühl, dass mit den Tieren Geld verdient wurde.
So blieb ihr nichts Anderes übrig, als es allein zu versuchen.
Einige Monate überlegte sie, wie sie das schaffen könnte, denn sie hatte eine große Anzahl von Hunden zu versorgen und nur ihr Gehalt zur Verfügung.
Sie entschied sich dafür, im Interesse der Tiere weiterzumachen - egal wie.
Den Namen "Stiftung Samtherzen e.V." wählte sie ganz bewusst aus.
'Samt' steht für das Fell aller Hunde und Katzen... 'Herz' stellvertretend für das Wissen, dass ein Mensch mit Herz immer versuchen wird zu helfen und niemals auf den Gedanken kommt, ein Tier
dafür zu verwenden, Geld zu verdienen!
Auf Facebook immer die aktuellsten Informationen!
Schauen Sie doch einfach mal vorbei und geben uns Ihren Like - je mehr wir sind,
umso größere Chancen haben die Not-Felle unserer SOS-Tierschutzprojekte.
Schauen Sie auch einmal bei unserem Partnerprogramm Gooding vorbei!
Sie können in vielen Shops Einkaufen und uns so eine kleine Provision zukommen lassen.
Falls Sie uns eine Spende zukommen lassen wollen, nutzen Sie bitte unsere Bank- und PayPal-Verbindung (siehe unten). Vielen
herzlichen Dank!
SOS-Regenbogenland - Gemeinnütziger Tierschutzverein
IBAN DE92 2689 1484 1113 0288 00
BIC GENODEF1OHA
PayPal-Konto: kontakt@sos-regenbogenland.com