Kirby wurde am 7. Februar 2016 in Varaždin von der Straße aufgegriffen. Der zweijährige Rüde humpelte und es war offensichtlich, dass er von einem Auto angefahren worden war. Kirby muss sich wohl mehrere Tage mit seinen Verletzungen durch die Stadt geschleppt haben bis er von tierlieben Menschen mitgenommen wurde.
Selbstverständlich wurde das Vorderbein sofort geröntgt und glücklicherweise war das Bein nicht gebrochen.
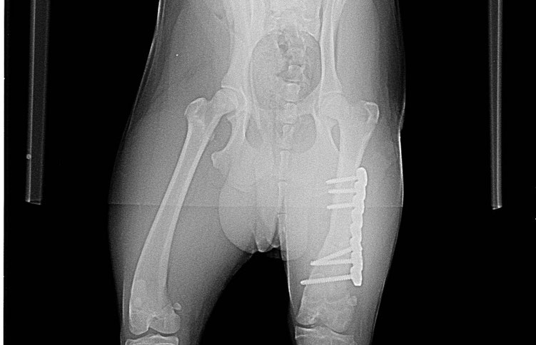
Beim einem zweiten Röntgen wurde dann aber leider eine Fraktur des Oberschenkelknochens der Hinterbeine festgestellt.
Dieser schmerzhafte Bruch musste sofort in einer Notoperation behandelt werden.
Es entstanden bereits Arzt- und OP-Kosten in Höhe von ca. 400 Euro - Ausgaben, die vom Asyl Spas verauslagt wurden, aber nicht wirklich vorhanden sind.
Bei dem letzten Video sieht man, dass sich Kirby auf seinen Hinterläufen wieder ganz gut fortbewegen kann, jedoch im Bereich der Vorderbeine Probleme beim Auftreten bestehen.
Das Problem hat sich in den letzten Tagen auch nicht gebessert, eher verschlechtert. Beim Röntgen wurde zwar kein weiterer Bruch gefunden, möglicherweise handelt es sich aber um einen Sehnenriss. Auf jeden Fall werden weitere Diagnostik und Therapie erforderlich sein.
Update vom 25. Februar 2016
Wie bereits berichtet, belastete Kirby eines seiner Vorderbeine nicht und es trat auch keine Verbesserung ein.
Kirby wurde nun erneut geröntgt und es stellte sich heraus, dass die Aufnahmen beim ersten Röntgen leider aus einem falschen Winkel gemacht worden waren, so dass der Bruch des Ellenbogens nicht
gesehen werden konnte.
Vermutlich handelt es sich sogar um eine Trümmerfraktur, was einen komplizierten Eingriff zu Folge haben wird. Außerdem hat sich eine Entzündung im Gelenk eingenistet, so dass leider auch noch nicht sicher ist, ob Kirby sein Bein wird behalten können.
Update vom 02. März 2016
Wie befürchtet, hat sich der Verdacht leider bestätigt: Kirby hat eine Trümmerfraktur des Ellenbogens.
Die nötige OP wird sehr aufwendig und teuer sein, die geschätzten Kosten werden sich auf 600 Euro belaufen - noch ohne die umfangreiche Nachsorge. Um dies bewältigen zu können, ist das Asyl wirklich dringend auf Spenden angewiesen!
Bei den erneuten Röntgenaufnahmen hat sich jedoch auch gezeigt, wie schön der Bruch des hinteren Oberschenkels verheilt ist - um so wichtiger ist es für Kirby und sein zukünftiges Leben, dass nun alles daran gesetzt wird, auch sein Vorderbein zu richten.
Update vom 08. März 2016
Kirby wurde heute zum zweiten Mal operiert.
Man hat wirklich das fast Unmögliche versucht und den Trümmerbruch gerichtet.
Ob es erfolgreich sein wird, ist noch ungewiss.
Zumindest geht es dem kleinen Mann für's erste gut...
und vor allem: Rot steht ihm ausgezeichnet!
Update vom 19. März 2016
Es gibt ein paar neue Fotos von Kirby nach der OP - aber noch keine neuen Erkenntnisse, ob die letzte Operation wirklich erfolgreich war. Kirby darf das Bein noch nicht belasten, deswegen
ist es im Normalfall ruhig gestellt.
Erst in den nächsten Tagen wird sich zeigen, ob die OP von Erfolg oder wenigstens Teilerfolg gekrönt war oder ob das Bein doch dauerhaft versteift werden muss.
Wir danken allen OP-Paten für ihre Spenden und drücken ganz fest alle Daumen und Pfötchen, dass nicht noch eine weitere Operation nötig sein wird!!!
Update vom 30. März 2016
Anfang März wurde in einem lang dauernden Eingriff versucht, die Trümmerfraktur seines Ellenbogens zur richten.
Kirby, der ein sehr lieber, freundlicher Junghund ist, hat sich auch bei diesem zweiten Eingriff als tapferer und geduldiger Patient erwiesen. Der Bruch seines Hinterbeines ist ausgezeichnet verheilt und wird ihm keine Schwierigkeiten mehr bereiten, allerdings war dies auch "nur" ein einfacher Bruch. Kirbys Vorderbein ist nun nicht mehr ruhig gestellt, er belastet es aber nach wie vor nicht richtig. Allerdings ist er jetzt schmerzfrei. Da er ein junger, fröhlicher Hund ist, schränkt ihn auch sein "Humpelbein" nicht sonderlich ein.
Kirby wird nun für einige Wochen in eine kroatische Tierpension umziehen, wo man sich intensiv um eine weitere Besserung durch Schwimmübungen und Physiotherapie bemühen wird. Auch dies wird natürlich wieder Kosten verursachen.
Das Asyl ist daher dringend auf Spenden angewiesen - damit Kirby hoffentlich bald ein völlig gesunder Hund sein darf.
Update vom 18. April 2016
Wie man in dem kleinen Video gut sehen kann, zeigt die intensive Zuwendung in der Tierpension gute Erfolge:
Kirby fängt an sein Vorderbein zu belasten.
Man kann also hoffen, dass er ein fast uneingeschränktes Leben führen wird. Kirby ist nun auch offiziell in die Vermittlung aufgenommen und es steht zu erwarten, dass er bald ein schönes Zuhause finden wird.
Wir möchten uns bei allen OP-Paten, die dieses „Happy End“ für Kirby mit ermöglicht haben, von ganzem Herzen bedanken.
Wir konnten durch Ihre Unterstützung 270 € für Kirbys Operationen auszahlen.
Update Mitte Mai 2016
Kirby hat seine Familie gefunden und fühlt sich frisch geschoren pudelwohl!
Spendenstand
Lesika Hundehilfe Varazdin e.V.
Wir sind eine Gruppe von Tierschützerinnen und Tierschützern, die sich von Deutschland aus für zwei Tierheime in Kroatien einsetzen: das Asyl Spas in Varazdin und Vesnas Tierheim in Virovitica.
Das Asyl Spas (auf deutsch „Rettung") ist mit 350 bis 400 Hunden das größte Tierheim Kroatiens. Keiner dieser Hunde würde ohne das Asyl und die aufopferungsvolle Arbeit des Teams von Gordana Lacko noch leben. Die Situation der Hunde und Tierheime in Kroatien ist mit den Verhältnissen in Deutschland nicht zu vergleichen. Umso wichtiger ist die Unterstützung durch Vereine wie die Lesika Hundehilfe - und durch Menschen wie Sie, die das Schicksal von Tieren nicht unberührt lässt.
Das grüne Tor
Wir alle sind hindurchgegangen, durch das grüne Tor, den Eingang zum Asyl Spas. Manche von uns zu Fuß, andere in ihren Gedanken, aber alle mit dem Herzen. Noch einmal holten wir tief Luft angesichts der Ungewissheit, was uns erwartet.
Dann hat sich das Tor für uns geöffnet. Wir haben die Schwelle überschritten und wurden von Liebe und auch von Leid empfangen. Von Augen voller Sehnsucht nach dem Leben, viele erwartungsvoll, manche traurig, doch stets mit unerfüllten Wünschen.
Wer einmal durch das Tor getreten ist, für den verändert sich die Welt. Wir sind verschieden und doch vereint in unserem Wunsch zu helfen. Wir sind Lesika.
Auf Facebook immer die aktuellsten Informationen!
Schauen Sie doch einfach mal vorbei und geben uns Ihren Like - je mehr wir sind,
umso größere Chancen haben die Not-Felle unserer SOS-Tierschutzprojekte.
Schauen Sie auch einmal bei unserem Partnerprogramm Gooding vorbei!
Sie können in vielen Shops Einkaufen und uns so eine kleine Provision zukommen lassen.
Falls Sie uns eine Spende zukommen lassen wollen, nutzen Sie bitte unsere Bank- und PayPal-Verbindung (siehe unten). Vielen
herzlichen Dank!
SOS-Regenbogenland - Gemeinnütziger Tierschutzverein
IBAN DE92 2689 1484 1113 0288 00
BIC GENODEF1OHA
PayPal-Konto: kontakt@sos-regenbogenland.com